20代女性「事故で前歯が折れてしまった。インプラントができるか相談したい」インプラント治療による症例
-
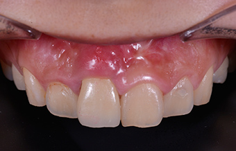
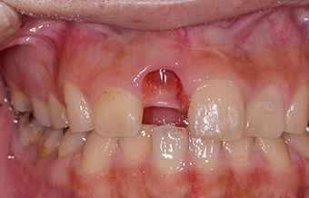
before
-
after
| 項目 | 詳細 |
|---|---|
| 年齢・性別 | 20代女性 |
| ご相談内容 | 事故で折れてしまった箇所のインプラント治療をご相談いただきました。 |
| カウンセリング ・診断結果 |
大きく損傷しており骨の状態が良くなかったものの、骨造形を行うことでインプラントが可能と診断いたしました。 |
| 行ったご提案 ・治療内容 |
不足している箇所には人口の骨を足してインプラントを埋入いたしました。 また、歯茎もかなり下がっていたため可能な限り改善させました。 |
| 治療期間 | 10か月 |
| おおよその 費用 |
495,000円(税込) <内訳>インプラント体:220,000円、上部構造:220,000円、ガイド装置:55,000円 |
| 術後の経過 ・現在の様子 |
造成した骨の予後も良く、しっかりと機能したインプラントで経過しています。 |
| 治療リスク | インプラントは外科手術のため、術後は痛みや腫れが出る可能性があります。※治療期間・通院回数は症状により異なります。 |



