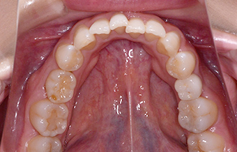
20代女性「生まれつき永久歯がない箇所のインプラント治療を相談したい」インプラント治療による症例
-
before
-
after
| 項目 | 詳細 |
|---|---|
| 年齢・性別 | 20代女性 |
| ご相談内容 | 「生まれつき永久歯のない箇所があるため、インプラントを検討したい」とご相談いただきました。 |
| カウンセリング ・診断結果 |
骨がしっかりありましたので、インプラントが可能と診断いたしました。 |
| 行ったご提案 ・治療内容 |
残っていた乳歯の保存は難しく、ご年齢も若いため予後を加味して、抜歯の上でインプラントを埋入する治療方針をご提案いたしました。 患者さまからもご了承いただきました。 |
| 治療期間 | 約5か月 |
| おおよその 費用 |
440,000円(税込) <内訳>インプラント体:220,000円、上部構造:165,000円、ガイド装置:55,000円 |
| 術後の経過 ・現在の様子 |
上部構造セット後も予後よく過ごされています。 |
| 治療リスク | インプラントは外科手術のため、術後は痛みや腫れが出る可能性があります。 ※治療期間・通院回数は症状により異なります。 |



