30代女性「歯を抜いたところにインプラントを入れたい」インプラント治療による症例
-
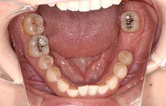
before
-
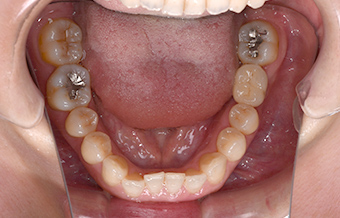
after
| 項目 | 詳細 |
|---|---|
| 年齢・性別 | 30代女性 |
| ご相談内容 | 「歯を抜いたところにインプラントを入れたい」とご相談いただきました。 |
| カウンセリング ・診断結果 |
抜歯後、数カ月が経過しており骨や歯茎の状態も良好でしたので、インプラント可能と診断いたしました。 |
| 行ったご提案 ・治療内容 |
抜歯した箇所へのインプラントの埋入をご提案し、患者さまからもご了承いただきました。 |
| 治療期間 | 3か月 |
| おおよその 費用 |
440,000円(税込) <内訳>インプラント体:220,000円、上部構造:165,000円、ガイド装置:55,000円 |
| 術後の経過 ・現在の様子 |
「見た目も良く、自分の歯と同じように噛むことができるようになった」と喜んでおられます。 |
| 治療リスク | インプラントは外科手術のため、術後は痛みや腫れが出る可能性があります。※治療期間・通院回数は症状により異なります。 |



